Caden has been playing basketball games with the Covenant team on Thursdays in June. He is hanging right in there with boys significantly older than he is. A pic before tip off.
Annabelle went to Rosemary Beach with Lilly and her family. She had so much fun!
Caden went to Oklahoma City with some of the high school basketball players to a basketball camp. In the bus headed to camp.
A fun night out in OKC.
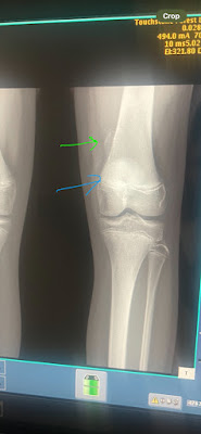
While Caden was away at basketball camp, Annabelle had a serious of appointments and scans for a lump she discovered a few weeks ago. After a sonogram, x-ray, and MRI, she was diagnosed as having an osteochondroma. It's basically a broccoli floret piece of bone on her femer...some cells gone rogue. Doctor said it's likely been there for a few years, and it is just now to the size that she noticed it. It will keep growing as long as she is growing, so we will monitor it and hope surgery isn't needed. You can see it (green arrow), and then you can see (blue arrow) that her growth plates are still open.








